Cosmetic Bonding FAQs in Roseville, CA
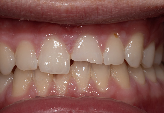
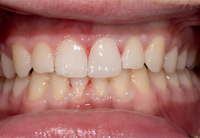
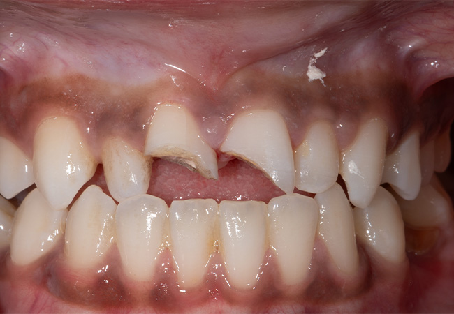
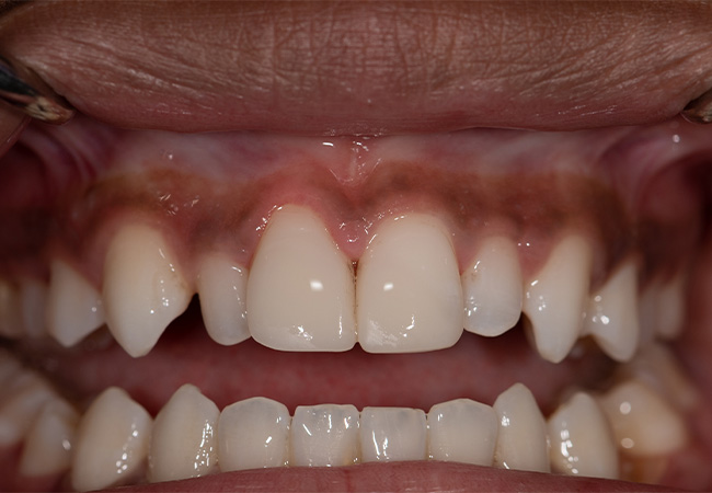
Cosmetic bonding, also known as composite veneers, is a minimally invasive procedure where a tooth-colored resin material is applied and sculpted onto the teeth to improve their shape, size, and color.
Composite veneers are applied directly to the tooth and sculpted in one visit, while porcelain veneers are custom-made in a lab and require multiple visits. Composite is more affordable but less durable and stain-resistant than porcelain.
People with chipped, stained, slightly misaligned, or small teeth who want a minimally invasive, cost-effective solution may be good candidates. However, those with significant bite issues or severe discoloration may need porcelain veneers or other treatments.
The procedure is usually completed in one visit, taking about 30-60 minutes per tooth, depending on the complexity.
Composite veneers typically last 5-7 years with good oral hygiene and regular dental checkups. They may need touch-ups or replacements sooner than porcelain veneers.
Yes, composite material is more porous than porcelain and can stain over time, especially with regular consumption of coffee, tea, red wine, and tobacco. Proper care can help reduce staining.
Yes, composite bonding is considered reversible, as it usually requires minimal or no enamel removal. However, some touch-ups may be needed over time.
The procedure is generally painless, as little to no enamel is removed. In most cases, no anesthesia is required unless bonding is used to fill a cavity.
To maintain their appearance, avoid biting on hard objects, minimize staining foods and drinks, maintain regular brushing, flossing, and dental visits, and consider a nightguard if you grind your teeth.
The cost varies based on location and complexity but typically ranges from $250 to $1,500 per tooth, making it a more affordable alternative to porcelain veneers.





