skip to main content

Restoring Lost Teeth

Restoring Lost Teeth

Dr. Jefferson Clark, DDS, MS, FACP, is recognized as a leading expert in restorative dentistry, specializing in the seamless integration of cosmetic, functional, and preventative dental care.

His mastery in full mouth reconstruction sets him apart, offering patients a unique combination of artistic talent, advanced technical skills, and compassionate care. Whether you’re looking to achieve a stunning smile makeover or need to restore your bite’s full function, Dr. Clark’s extensive training and dedication to personalized treatment make him the ideal choice for anyone seeking top-tier dental care. His approach ensures that every aspect of your dental health is addressed—focusing on aesthetics, how your teeth function, and how they contribute to your overall well-being.

When a tooth cannot be saved due to extensive decay, trauma, or infection, a dental implant may be the best option to restore function, aesthetics, and oral health. At Dr. Jefferson Clark Personalized Oral Health, we understand the importance of doing it right the first time. Dr. Clark utilizes the latest materials and advanced techniques to ensure that every implant is placed with precision and care. With his prosthetics, aesthetics, and function expertise, Dr. Clark ensures that the implant integrates seamlessly into your smile and restores full functionality. Whether it’s a single implant or a more complex case, you can trust that your dental implant will be a strong, durable, and natural-looking solution, supporting your long-term health and well-being.

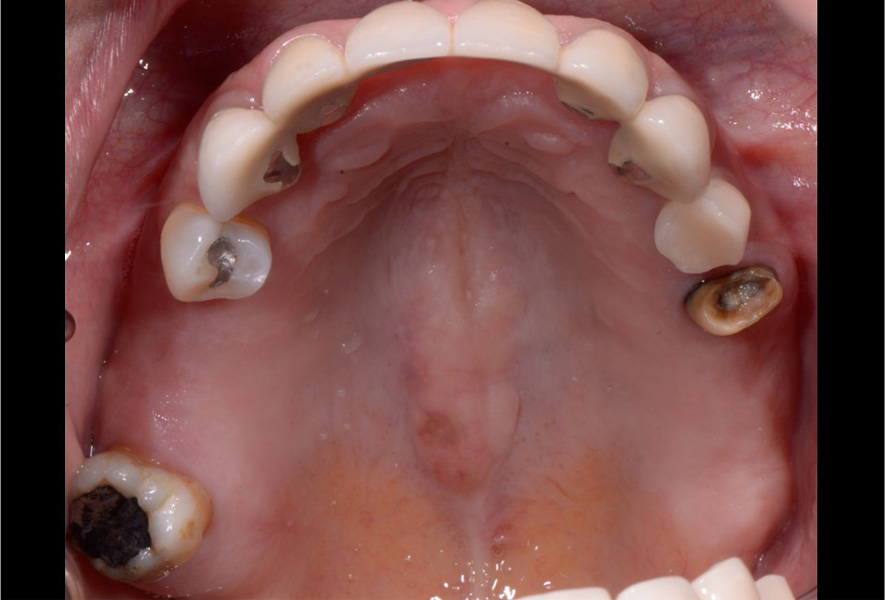
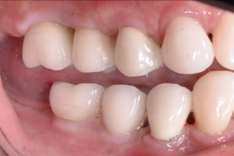
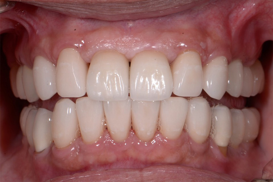
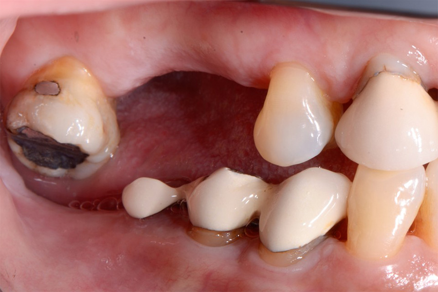
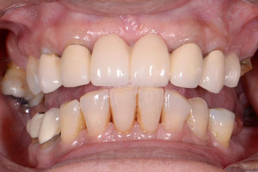
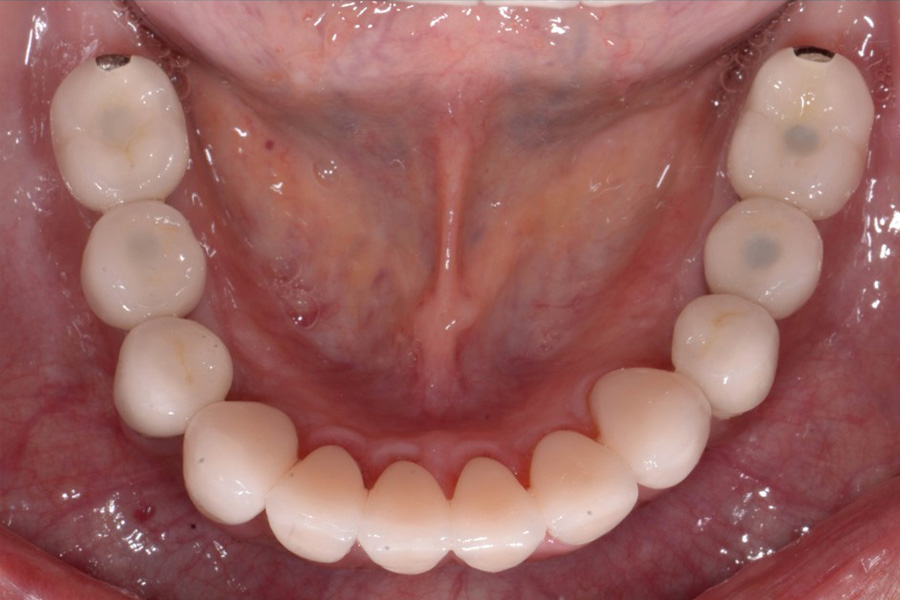
Patient Results: Smile Makeover

When Is Full Mouth Reconstruction Necessary?

If you need a full mouth reconstruction, Dr. Clark is the dentist to see. With his exceptional experience in restoring smiles using advanced restorative principles, he offers solutions for complex cases that others may not be equipped to handle.

Full mouth reconstruction may be necessary for a variety of reasons, including:
  • Severely worn or damaged teeth – Teeth that are extensively worn down due to grinding (bruxism), acid erosion, or decay may require comprehensive restoration to regain proper function and appearance.
  • Multiple missing teeth – Missing teeth can impact your ability to chew, speak, and maintain proper alignment of the remaining teeth. Full mouth reconstruction restores both function and aesthetics through implants, bridges, or dentures.
  • Chronic jaw pain or bite issues – Problems with the alignment of your bite, such as TMJ disorders or a misaligned bite (malocclusion), can cause discomfort, headaches, and difficulty with normal jaw function. Full mouth reconstruction can correct these issues by addressing the underlying bite alignment problems.
  • Severe tooth decay – When widespread decay affects many teeth, a full mouth reconstruction may be necessary to replace or restore the damaged teeth and improve overall oral health.
  • Trauma or injury – Patients who have suffered significant trauma or injury to the mouth and teeth may need a full mouth reconstruction to rebuild and restore the function and appearance of their smile.
  • Congenital dental issues – Some patients are born with conditions, such as missing teeth (hypodontia) or enamel defects, that may require a full mouth reconstruction to provide functional, natural-looking teeth.
  • Periodontal disease – Advanced gum disease can lead to bone loss, gum recession, and loose teeth. Full mouth reconstruction can help stabilize oral health and restore damaged or lost teeth.

Dr. Clark dedicates time to thoroughly understanding your unique needs, goals, and concerns, ensuring that the results are aesthetically beautiful and long-lasting. By integrating cutting-edge technology with his extensive oral health knowledge, Dr. Clark has become a trusted expert in restoring your smile and confidence, ultimately enhancing your overall quality of life.

Let's Get Started!

=